UN’ALTRA POSSIBILITÀ PER I PROPRI DENTI
La protesi fissa è una soluzione utilizzata in caso di denti molto distrutti dove non si può intervenire con una semplice otturazione, o per rimpiazzare un numero limitato i denti persi.
CORONA

La corona dentale, conosciuta anche come capsula, è una protesi fissa che può essere applicata su uno o più denti.
Tale trattamento viene utilizzato quando la struttura dentale residua è insufficiente per trattare il dente con un’otturazione (ad esempio come in caso di carie o trauma dentale estesi).
La corona ha come obiettivo quello di sostituire la parte superiore del dente.
Il procedimento consiste nella preparazione della superficie dentale (limatura) con la quale si realizza la struttura (moncone) da incapsulare.
Prima di realizzare la corona definitiva, viene preparata una provvisoria, in modo da favorire il recupero dei tessuti e garantire il miglior rendimento della corona definitiva.
Esistono differenti materiali tra i quali è possibile scegliere per la realizzazione della corona:
- corone totalmente ceramiche
- corone in metallo-ceramica
PROTESI CIRCOLARE SU DENTI NATURALI
Questa protesi prevede di essere supportata da denti ancora presenti in bocca, precedentemente limati e monconizzati, che riabilita l’intera arcata.
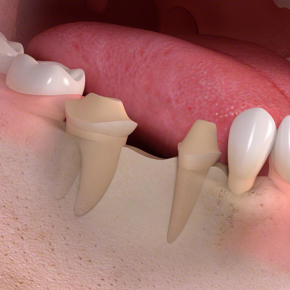
PONTI SU DENTI NATURALI
Il ponte non è altro che una serie di corone che in fase di lavorazione vengono realizzate ottenendo una struttura unica, che rimpiazza uno o più denti mancanti, sfruttando i denti adiacenti come pilastri; questi verranno limati, come nel caso di una corona.

MARYLAND BRIDGE
Il Maryland Bridge, è un ponte “adesivo”, dove l’elemento mancante è supportato da una struttura metallica, che andrà “incollata” ai denti adiacenti per mezzo di resine adesive. Il Maryland è indicato per rimpiazzare elementi nei settori anteriori non necessitando preparazioni estese dei denti di supporto.